咽部正常影像学表现
咽部解剖
腺样体解剖
X线摄片Chest radiography
常规:站立后前位
侧位:病变定位
咽部正常X线表现
腺样体
名称:腺样体有多种叫法
增殖腺
咽扁桃体
Luschka扁桃体
部位:是位于鼻咽腔顶部、蝶骨体底和枕骨斜坡颅外面的一团淋巴组织,表面有4~5条呈前后方向的纵行深沟,表面覆以假复层纤毛柱状上皮。
W aldeyer环:它与腭扁桃体、舌根淋巴组织和咽后壁淋巴组织组成咽淋巴环。此环特殊的位置成为吸入性或摄入性抗原最早接触部位,是呼吸道第一道防御门户。
特点:儿童腺样体生理性肥大和病理性肥大的好发年龄在3~8岁,且以男童较多。
组织成分及发育特点
正常情况下:咽部有丰富的淋巴组织,鼻咽腔顶壁有腺样体(咽扁桃体);咽峡两侧有腭扁桃体;舌根处有舌扁桃体;在咽后壁、咽鼓管口和咽隐窝处有明显分散的淋巴滤泡,构成咽淋巴环。
生长发育:腺样体出生后即存在,随年龄而增生,6岁左右最大,以后逐渐退化,一般10岁以后开始萎缩,多在青春期后退化消失。
病理
儿童腺样体肥大:是鼻咽部腺样体因慢性炎症刺激发生病理性肥大,导致鼻咽腔及气道狭窄,当腺样体肥大堵塞鼻咽通气道的70%时,则影响邻近器官功能或全身健康,称为腺样体肥大。
并发症:多与慢性扁桃体炎、扁桃体肥大同时存在。
OSAHS:阻塞性呼吸睡眠暂停低通气综合征,伴发甚至危及生命。
腺样体肥大
腺样体肥大的常见症状
鼻腔:腺样体肿大,造成鼻塞,打呼,张口呼吸。
耳部:腺样体阻塞耳咽管开口,并发中耳炎,中耳积液。
口咽部:腺体肿大,阻塞呼吸道,造成睡眠中呼吸暂停
是否采取手术治疗很纠结?
生理作用:儿童腺样体是呼吸道第一道防御门户,在儿童生长发育期内轻易摘除,会削弱鼻咽部的局部免疫功能。
病理作用:病理性肥大的腺样体常并发多种疾病,后果严重,应及时手术刮除。
标准意义:所以确定腺样体肥大标准和手术指征十分重要。
腺样体肥大的检查
常见病之一:腺样体肥大是儿童时期常见的上呼吸道疾病之一。
临床检查:目前临床上对于腺样体肥大常用的检查方式是经口腔间接鼻咽镜检查和鼻内镜检查。
缺点:
但由于小儿咽腔狭小,咽部刺激重等原因,患儿难于配合,检查相对困难。
首选检查:
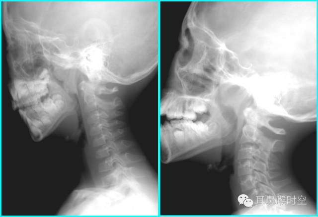
国内外有关腺样体肥大的标准和手术指征,首选鼻咽部侧位X 线平片。
鼻咽部侧位摄片优势:
优点:能够很好的现实鼻咽腔宽窄情况
测量:
(1)腺样体(Adenoid,A)厚度
(2)鼻咽腔(Nasopharyngeal,N)宽度
(3)后气道间隙(Pharyngeal Airway Space ,PAS)的宽度
意义:
(1)用腺样体-鼻咽腔比率A/N值及PAS宽度评估腺样体大小与鼻咽腔阻塞情况。
(2)为临床诊断和治疗腺样体肥大提供可靠的依据。
鼻咽部侧位X片的摄片方法
体位:患儿端坐或站立侧位,下颌略抬高,以减少下颌支与鼻咽腔重叠,眶耳线平行于地面,头颅矢状面与摄片架平行。
中心线:通过外耳孔前下方约2cm处。
注意:嘱患儿闭口用鼻吸气并摄片,防止软腭抬高造成鼻咽腔变窄的假象。
鼻咽侧位片的测量方法(一)
腺样体厚度(A)的测量:
测量:腺样体最突点至枕骨斜坡颅骨外侧面的垂直距离为腺样体厚度:
意义:>13mm,就会出现鼻咽腔气道变窄,甚至闭塞。
鼻咽侧位片的测量方法(二)
腺样体-鼻咽腔比率A/N值:
(1)1987年Elwany提出鼻咽腔的宽度(N)测量方法:
硬腭后端至翼板与颅底交点间的距离为鼻咽腔的宽度。
(2)现多用的鼻咽腔的宽度(N)测量方法:
N为腺样体最凸部鼻咽腔的宽度,即垂线的反向延长线与硬腭后端或软腭前中部上缘的交点和枕骨斜坡颅外面切线的垂直距离。
鼻咽侧位片的测量结果
Elwary测量:100例3~7岁即将行腺样体切除术儿童的A/N 比,并与100名正常儿童对照。
肥大组:A/N 比为0.652 ~0.853 ,平均0.713
正常儿童组:为0.499~0.621 ,平均0.583
分度:两组间有显著的统计学意义,并确定A/N比在0.68~0.726 为中度肥大,A/N 比≥0.73 为病理性肥大。
邹明舜报道:106例3~10岁儿童提出A/N比分度。
≤0.60 属正常
0.61~0.70 为中度肥大
≥0.71 为病理性肥大。
李东辉等分析:136例2~13岁儿童,结果认为A/N 比
≤0.66 为正常
大于0.7 为肥大
大于0.8 为显著肥大。
程万民等测量:60例4~14岁儿童,认为
A/N 比≥0.71
PAS≤3 mm 为病理性肥大标准和手术指征。
A/N参考值:
中华放射学杂志标准 A/N比值:
考虑到儿童在2~12岁期间腺样体有生理性肥大,因地域、年龄、个体差异,以上各组标准稍有差别。
0.5-0.6为正常;
0.61-0.70为中度肥大;
0.71以上为病理性肥大;
0.80以上为显著肥大;
参考文献:邹明舜. 儿童增殖体鼻咽腔比率测定的临床价值. 中华放射学杂志,1997 ,31 :190.
鼻咽侧位片的测量方法(三)
鼻咽后气道宽度(PAS)
PAS宽度:软腭表面与腺样体表面最凸点之间有效气道宽度(图中a’)
鼻咽口气道宽度是鼻咽最小气道宽度
PSA宽度参考值:
PAS标准:
≧10mm:属正常范围.
6~10mm:视腺样体生理性或中度肥大,
≤5mm:可认为腺样体重度肥大。
≤3mm:患儿多有张口呼吸.
文献报道认为:当A/N值≥0.71,PAS≤3mm,可作为手术指征。
总结
腺样体厚度(A)测量:尽管能了解腺样体肥大的程度,但不能正确反应气道阻塞程度
PAS测量:气道阻塞的程度,但不能反应腺样体肥大的程度,并且易受人为因素的影响。
A/N比值测量:是目前临床上最常用的一种方法,能良好的反应腺样体大小,及腺样体占鼻咽腔气道的程度。
常用方法:到目前为止,鼻咽部X线侧位片依然是临床诊断儿童腺样体肥大的最常用方法。
不足之处:
不能观察到咽隐窝、咽鼓管咽口、圆枕、翼内外板(肌)、咽旁间隙等组织或结构
不能进行腺样体肥大的分度
不能动态观察鼻咽气腔的变化情况等。
C T— computed tomography
咽部正常CT表现
(1)鼻咽腔层面:
(2)口咽腔层面
(3)喉咽腔层面:
CT检查扫描方法
①鼻咽部轴扫:常规OML (听眦线)
扫描体位:标准仰卧头颅正位
扫描参数:OML基线,层厚3mm/5mm,螺距1.0。
扫描范围:以侧位作为定位线,包括中耳乳突进行螺旋方式扫描
部分进行静脉增强扫描;
②冠状位扫描:以蝶-枕骨结合面为基点
X射线垂直穿过腺样体(即是通过腺样体的最大厚度的截面)进行
③同层动态CINE 模式:
选择鼻咽部腺样体最大截面,层厚3mm/5mm,同层连续动态扫描,间隔时间1~3s。
CT 观察与测量方法
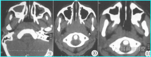
①标准CT 轴位:主要观察12项结构
鼻咽腔的形态
腺样体大小与形态
咽隐窝
咽鼓管咽口
圆枕
鼻后孔的阻塞情况
翼内外板
翼内外肌
咽旁间隙
邻近骨质有无破坏
鼻旁窦
中耳乳突等。
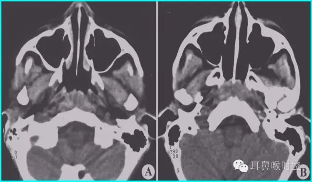
②冠状面:输入小标题
测量层面:以通过蝶-枕结合层面的冠扫作为之,选择腺样体最大截面及上、下相邻层面等3个层面测量(图1,2) , 并求出平均值
正中矢状面测量:
腺样体厚度与鼻咽气腔前后径的比值
鼻咽气腔有效气道的前后径大小
鼻咽气腔有效面积。
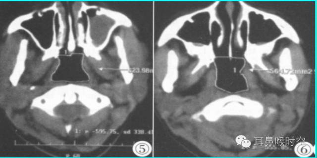
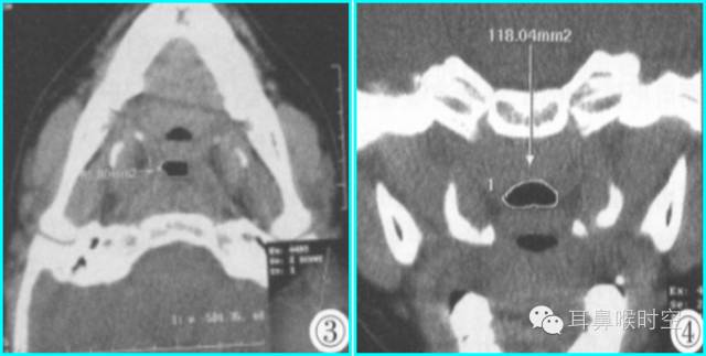
图1 鼻咽气腔N值 图2 腺样体A值
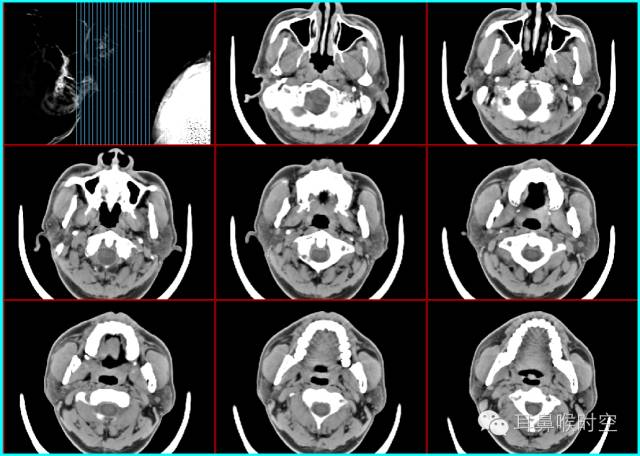
③同层动态CINE:
利用GE公司HispeedAW工作站,选择任意3个层面测量(图3,4)
求两两之间的面积最大差值(△S=118.04- 91.15) 。
图3 鼻咽气腔有效面积 Sn 图4 CINE测量有效面积 Sn1
标准CT 轴位像:
鼻咽气腔形态因层面不同而不同,其中,呈梯形(图3),长方形(图4)。
咽隐窝及咽鼓管咽口清晰或隐约可见,双侧对称,鼻后孔大部分畅通,咽旁间隙清晰,邻近骨质无破坏。
鼻咽气腔形态
梯形 长方形
分型
儿童腺样体肥大依据CT 表现分为3 型:
CT表现:
为鼻咽顶后壁增厚,形成肿块
前缘平直或略凹陷,堵塞后鼻孔
鼻咽腔变形、狭窄,上气道变窄。
临床表现:
为打鼾,张口呼吸,睡眠不安等。
CT 表现:
除Ⅰ型外
同时有上颌窦、筛窦黏膜增厚,窦腔变窄等慢性鼻窦炎表现及鼻甲肥大和/或鼻中隔偏曲
临床表现:
为鼻塞,流脓鼻涕及阻塞性睡眠呼吸暂停低通气综合征表现;
CT表现:
除Ⅰ型的CT表现外
还有咽鼓管咽口粘连狭窄及中耳乳突积液,即分泌性中耳炎表现。
文献报道,慢性鼻窦炎、腺样体肥大、咽鼓管非机械性阻塞等,都是小儿慢性分泌性中耳炎的常见病因。
临床表现:
为不同程度的听力下降甚至耳聋,耳聋为传导性耳聋。
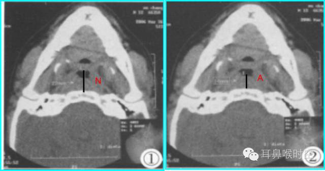
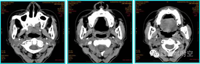
标准CT 轴位像:
鼻咽气腔均不同程度变形变窄(图7,8) , 不规则形,横条形,完全闭塞。
增大的腺样体呈软组织密度,均匀一致,与头长肌相近,呈弥漫性肿块形(图9)、嵌入鼻后孔肿块形(图10)、单侧肿块形(图11)。
静脉增强扫描呈轻-中度强化。
鼻咽气腔形态
腺样体形态
弥漫性肿块形(图9) 嵌入鼻后孔肿块形(图10) 单侧肿块形(图11)
腺样体腺大
MRI
根据经典Fujioka 等 X 线平片测量法原理:
A/ N 比:测量腺样体最大厚度与自硬腭上缘到颅底蝶枕骨的软骨结合部的距离之比
PAS:后气道间隙(pharyngealairway space , PAS)的宽度(软腭表面与腺样体表面之间有效气道宽度)。
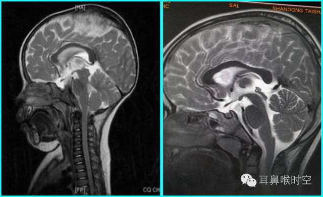
采用SE 序列矢状面T1WI
选择正中矢状面,分别测量两条径线(图1、2)
N 线:即从蝶骨体2枕骨斜坡的软骨结合部后缘(O点)至硬腭与软腭上缘交界处的连线N
A 线:过O点沿枕骨斜坡下缘作延长线L,取腺样体下缘最凸点作L线的垂直线。
A/N比:分别测A、N值,计算A/N 比
程万民等 测量:
60例4~14岁儿童,认为
A/N 比≥0.71
PAS≤3mm
为病理性肥大标准和手术指征。
正常组镰刀形(图4)、刀鞘形(图5)为主
镰刀形、刀鞘形,腺样体厚度较薄,下缘凹陷或平直,但均不下凸
肥大组子弹形(图6)、山丘形(图7)为主
肥大组:子弹形、山丘形,腺样体饱滿、下凸,象山丘样突出。在冠状面上腺样体表现为“马鞍形”和“倒置梯形”。
解剖结构:在MRSET1WI 鼻咽部正中矢状面图像上,由于采取薄层断面成像
可以直观显示腺样体本身
清晰显示蝶骨体与枕骨斜坡之间的软骨接合部、鼻后孔间隙、鼻甲、硬腭与软腭上缘的交界面、软腭、会厌软骨等结构
易于测量:非常容易画出A 线及N 线,及测量PAS,了解鼻后孔间隙、鼻甲大小、软腭厚度及后突程度
动态观察:利用MR电影可动态观察鼻咽部随呼吸运动的情况,大大丰富了诊断信息。
任意平面:MR扫描不受体位影响,可行任角度断面扫描与图像重建,从而保证其正中矢状面图像的质量
可重复性:MR是一种无创性检查,无X线辐射危害,不影响儿童生长发育和健康。
【临床与病理】
腺样体(咽扁桃体)是位于鼻咽顶部的一团淋巴组织
在儿童期可呈生理性肥大,腺样体增生5岁时最明显,以后逐渐缩小,炎症刺激引起腺样体病理增生,导致呼吸道不畅或反复性上呼吸道感染
临床表现有鼻塞、张口呼吸、打鼾,影响咽鼓管时导致渗出性中耳炎。
腺样体肥大
【影像学表现】
侧位平片
可见鼻咽顶后壁局限性软组织增厚
突人鼻咽腔使相应气道狭窄。
CT表现:
为顶壁、后壁软组织对称性增厚,表面可不光滑
增强后均匀强化
两侧咽隐窝受压狭窄,咽旁间隙、颈长肌等结构形态密度正常
颅底无骨质破坏。
MRI表现:
多方位检查
有利于显示肥大的腺样体
呈等T1、长T2信号
增强时可强化
法国--舒德尔玛作为原研进口产品——法国康卡勒海湾纯天然提取。
同样是海水,可以是康卡勒海湾,可以是胶东半岛,也可以是舟山渔港,还可以是天然提取的,可以是海盐蒸馏水的,更可以直接盐水混和的,甚至用输液的氯化钠也能作为鼻腔冲洗。如何选择?
因天然而舒畅——法国舒德尔玛是生理性海水提取液,不含药物、不含激素,无副作用。
--


